Restorative Dentistry
What is Restorative Dentistry?
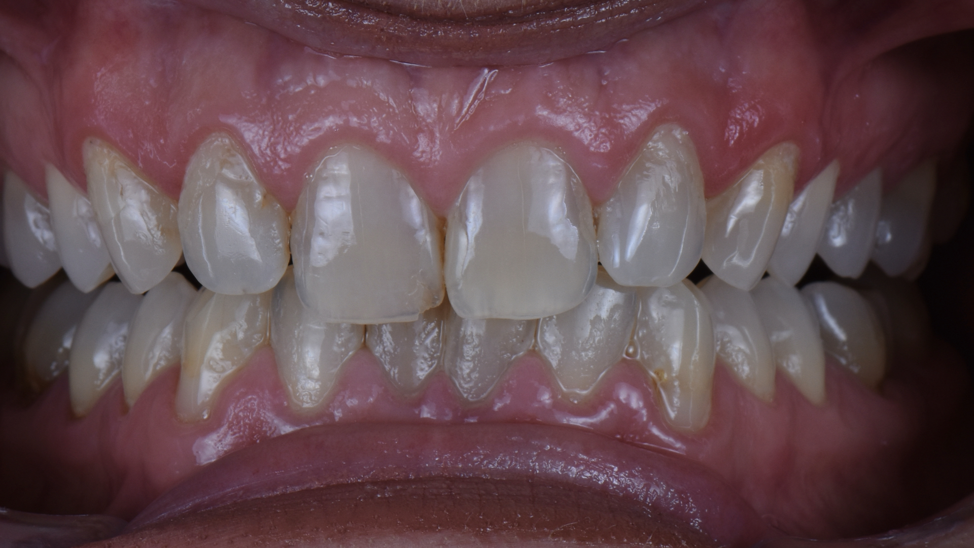
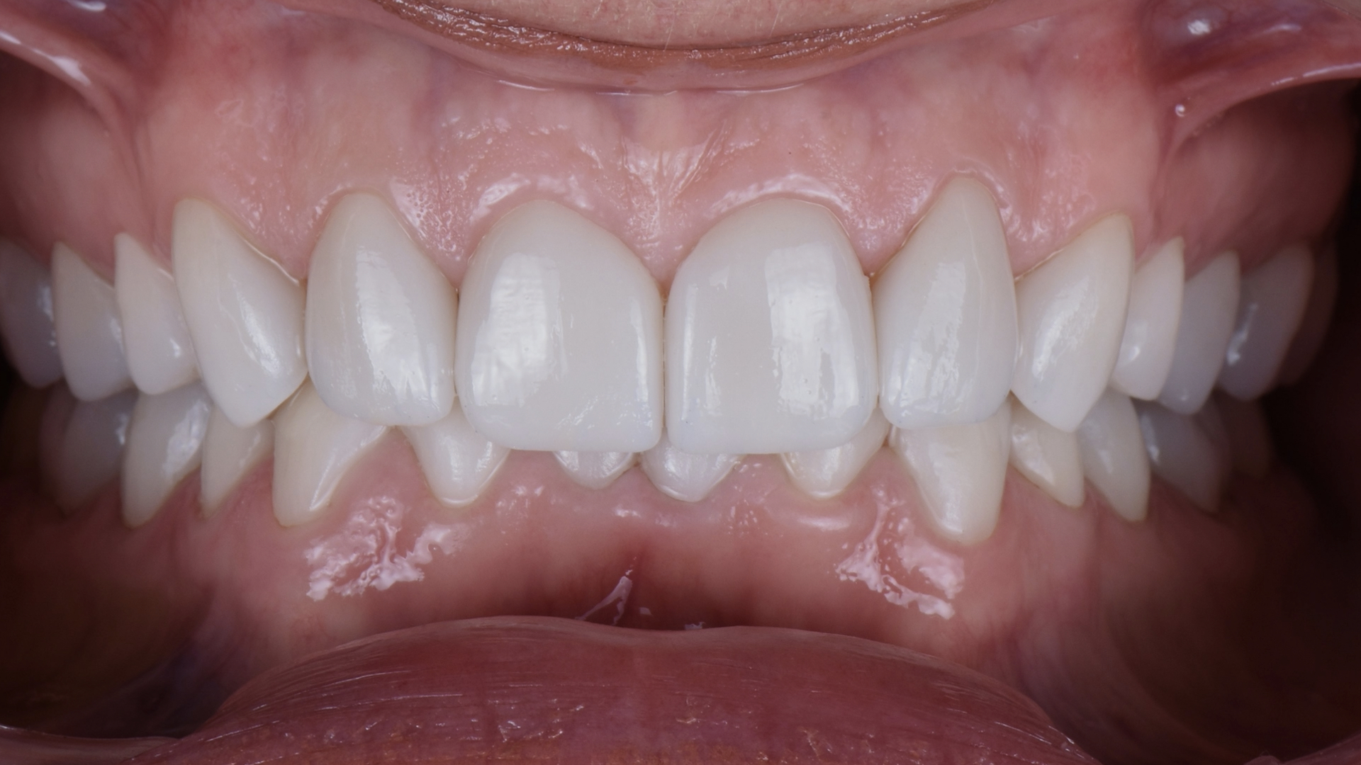
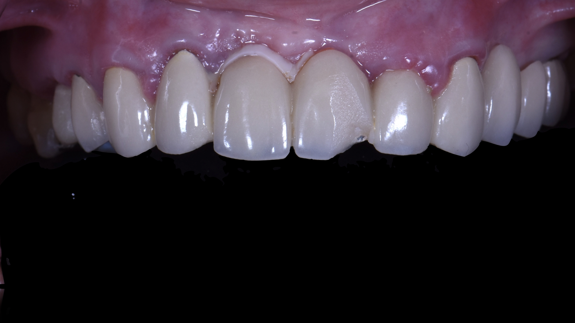
Restorative dentistry refers to any dental procedure that repairs or replaces a tooth. As a prosthodontic clinic, we focus on crowns, bridges, veneers, inlays, onlays, dentures, and full mouth procedures (that could also include implants). Restorative dentistry accomplishes two goals for patients: to restore the function and biology of the teeth and to improve the aesthetics of the teeth. These services require one visit to Costa Rica.

Veneers
A dental veneer is a minimal invasive thin layer of material that is placed over a tooth. This procedure is done either to whiten stained or discolored teeth to improve aesthetics or to restore the surface of a damaged tooth. We use high-quality porcelain veneers which are created by a dental technician in a laboratory and then bonded to the tooth.

Crowns
A crown can best be described as a prosthetic cap that fits over your own tooth. A crown is considered to be one of the most versatile dentistry options when it comes to getting your teeth back to their former glory. It can also prevent further damage by protecting the cracked, compromised, or decayed tooth.

Inlays & Onlays
Dental inlays and onlays are used to repair or restore teeth. We may recommend an indirect filling if your tooth is too damaged or decayed for a regular filling but hasn’t been weakened to the point that it needs a crown. This damage may have several causes, including Cavities.

Bridges
A dental bridge is a false tooth (called a pontic) that is held in place by the abutment teeth on either side of the gap. It consists of a false tooth or teeth being held in place by dental crowns that have been cemented onto each of the abutment teeth. We use Zirconia for this procedure.

Dentures
A denture can help you in various ways, like making it easier to eat and improving your looks and confidence. Depending on your case, you may need a partial or a full denture. A full denture is required when you need to have all teeth removed or you have already lost them. A partial denture means that only some teeth will be replaced and others may need to be retouched to ensure a natural look. Either option ensures a new smile.

Full Mouth Rehabilitation
……













“Dr. Carlos is excellent in his dentistry work. I had veneers on top and bottom teeth, a bridge, 2 crowns and completion of 2 implants. After my first appt with Dr. Carlos, I made the decision to go ahead with all my dental work. Dr. Carlos was very accommodating, kept me informed at all times what he was doing. I completed all of my dental work within a 8-day period and now I have a beautiful smile. I recommend Dr. Carlos for your dental care.”
— Penny Dockter, North Dakota, USA
Your New Smile Awaits
To get started, contact us via Whatsapp at +506 7162-9171 or submit the form below to get in touch with us today.
Thank You for Submitting the Form
COSTA RICA DENTAL EXPERIENCE
Implants, Esthetics, and Restorative Dentistry in Costa Rica.
Office Hours
Mon – Fri: 8:00 am – 6:00pm CST
Location
Costa Rica Dental Experience
Comercial del Valle, Local 1 continuo a la Delta, Escazú, San José, Costa Rica
Contact Us
+506 7162-9171
dr.carguellom@gmail.com
